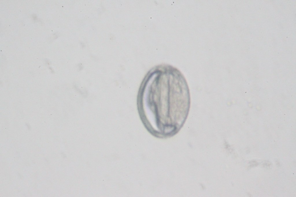
小学校5年生の理科では、「花から実へ」という単元で、おしべの花粉がめしべに受粉すると実に熟し、その中に種子ができることを学びます。校庭に咲いている花から花粉を採って顕微鏡で観察しました。顕微鏡にカメラを付けてレリーズでシャッターを切ると、児童もきれいな写真を撮ることができました。花粉の形や大きさが様々なのに気づき、中にはとげがあって「これでくっつきやすくしているのだろう」と想像しました。
(左上:アルストロメリア 右上:コーヒー 左下:ユリ 右下:アサガオ)




ASOCIACION CULTURAL JAPONESA
小学校5年生の理科では、「花から実へ」という単元で、おしべの花粉がめしべに受粉すると実に熟し、その中に種子ができることを学びます。校庭に咲いている花から花粉を採って顕微鏡で観察しました。顕微鏡にカメラを付けてレリーズでシャッターを切ると、児童もきれいな写真を撮ることができました。花粉の形や大きさが様々なのに気づき、中にはとげがあって「これでくっつきやすくしているのだろう」と想像しました。
(左上:アルストロメリア 右上:コーヒー 左下:ユリ 右下:アサガオ)



